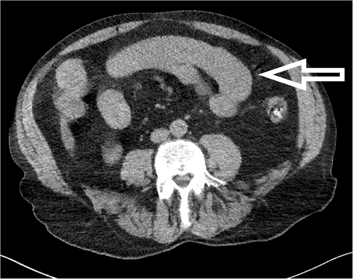
Fig. 3
From: Successful management of zinc phosphide poisoning—a Hungarian case

Abdominal CT-scan image of the patient on day 1. Native spiral-CT image of thorax, abdomen, and pelvis with soft tissue window and a 3-mm slice width in the axial plane. The thickened jejunal wall can be seen on the reconstructed image (marked with an arrow)