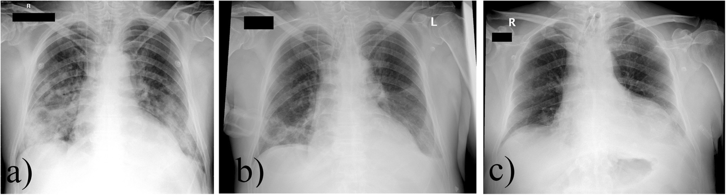
Fig. 1
From: Successful management of zinc phosphide poisoning—a Hungarian case

Anteroposterior chest X-rays of the patient on day 1 (a), 7 (b), 15 (c). a Day 1, confluent atelectasis on the day of admission. Central venous cannula and endotracheal tube in correct position. b Day 7, control examination. No signs of consolidation or atelectasis. c Day 15, control examination. No signs of consolidation or atelectasis. Tracheostomy tube in control position