- Clinical Images
- Open Access
- Published:
Meckel’s diverticulum-induced ileocolonic intussusception
International Journal of Emergency Medicine volume 3, page 203 (2010)
A previously healthy 8-year-old male complained of severe, intermittent and stabbing abdominal pain that had waxed and waned over the past 3 days. At the time of presentation, the pain was right-sided, peri-umbilical and non-radiating. He denied nausea, vomiting, hematochezia, melena or urinary tract symptoms; he had however experienced several recent episodes of brown diarrhea.
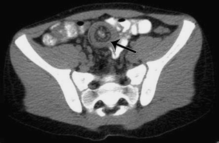
On physical exam, the child was afebrile with stable vital signs and was in mild distress secondary to pain. The abdomen was soft with hyperactive bowel sounds and non-specific right lower abdominal quadrant tenderness. Obturator, psoas, Murphy’s and Rovsing’s signs were all negative. On digital rectal exam, the rectal vault was empty and stool tested guaiac negative. A CT of the abdomen and pelvis was obtained and demonstrated the classic target sign of intussusception in both the longitudinal and transverse planes (Figs. 1 and 2). Exploratory laparotomy was performed, the intussusception was located and reduced, and a 1.5 × 1.5 × 1.5-cm Meckel’s diverticulum was identified as the lead point and excised.
The target sign is classic for intussusception on both CT and ultrasound. Its appearance is attributed to the different densities of tissue layers that are apposed to each other by the telescoping bowel, and when the luminal diameter is increased, intussusception must be considered in the differential diagnosis [1]. Although most cases of intussusception are idiopathic, there have been several case reports of Meckel’s diverticulum serving as a lead point [2–4].
References
- 1.
Cox TD, Winters WD, Weinberger E (1996) CT of Intussusception in the pediatric patient: diagnosis and pitfalls. Pediatr Radiol 26:26–32
- 2.
Barron BJ, Robins DB, Lamki LM, Daniels W, Chopra L, Black CT (1996) Intussusception secondary to Meckel’s diverticulum detection with Tc-99m monoclonal antibodies to granulocytes (Leukoscan). Clin Nucl Med 21(11):834–837
- 3.
Steinwald PM, Trachiotis GD, Tannebaum IR (1996) Intussusception in an adult secondary to an inverted Meckel’s diverticulum. Am Surg 62(11):889–894, Review
- 4.
Hurley LJ, Whalen TV, Glen L (1989) Intussusception secondary to Meckel's diverticulum: A challenging diagnosis in adolescence. Journal of Adolescent Health Care 10(1):51–53
Author information
Affiliations
Corresponding author
Rights and permissions
Open Access This is an open access article distributed under the terms of the Creative Commons Attribution Noncommercial License ( https://creativecommons.org/licenses/by-nc/2.0 ), which permits any noncommercial use, distribution, and reproduction in any medium, provided the original author(s) and source are credited.
About this article
Cite this article
Kloss, B.T. Meckel’s diverticulum-induced ileocolonic intussusception. Int J Emerg Med 3, 203 (2010). https://doi.org/10.1007/s12245-010-0178-8
Received:
Accepted:
Published:
Issue Date:
Keywords
- Luminal
- Intussusception
- Transverse Plane
- Physical Exam
- Target Sign

